ミラクルデンチャー症例124(50代 女性)
ミラクルデンチャー症例124(50代 女性)
ご来院のきっかけ
こちらの患者様は、当院が監修している女性のための入れ歯情報サイトをご覧になり、ご相談に来院されました。
「インプラント以外の選択肢も含めて、しっかり話を聞いてほしい」とのご希望があり、無料相談からスタートしました。
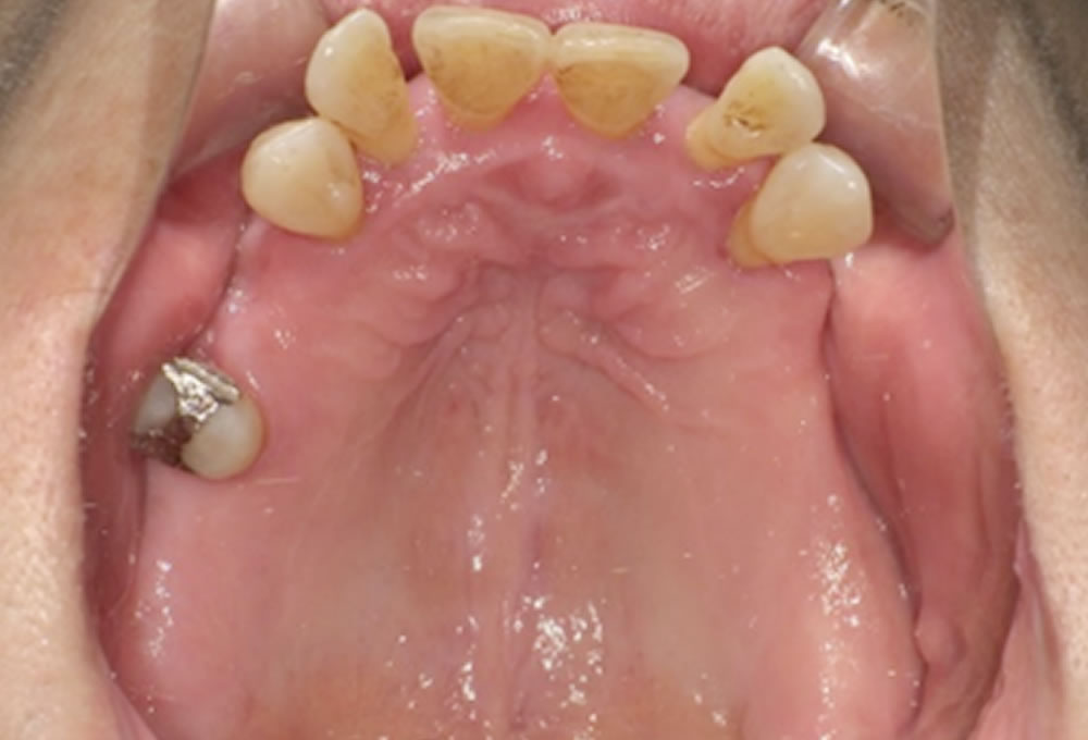
初診時の状態
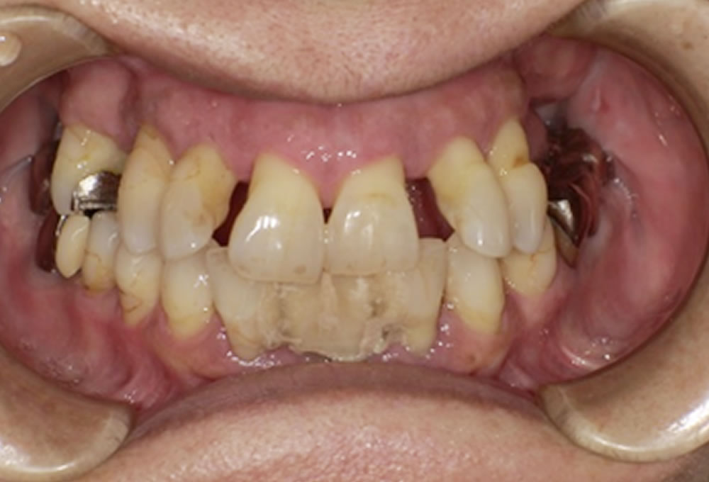
奥歯から先に悪くなり欠損が進行した結果、噛み合わせのバランスが崩れ、前歯が押し出されて歯並びが乱れている状態でした。
また、1本だけ残っている歯もありましたが、周囲に支えがないため動揺があり、将来的にどこまで長持ちするか懸念される状態でした。
治療内容と選択理由
今回採用したのは、現在のお口の状態に柔軟に対応できる設計で、耐久性と審美性の両立が期待できるミラクルデンチャーです。義歯の固定力を高める「ミラクルアルファ加工」を組み合わせた設計となっています。
ミラクルデンチャーは、一般的な入れ歯のように「点」や「線」で歯に負担をかけるのではなく、 残っている歯と“面”で支え合う構造が特徴です。
そのため、下記のようなメリットがあります。
- 残存歯への負担が分散される
- 歯が長持ちしやすい
- しっかり噛める安定感が得られる
※ミラクルデンチャーは薬機法上の承認を得ておりません。国内のミラクルラボ株式会社で製造したものを使用しており、治療部位によっては脱着が難しいなどのデメリットがあります。国内に同じような性能の代替品はなく、諸外国での安全性については情報が少ないため、明示することができません。(約13.2~99万円/税込※症例によって変動)
治療後の変化
治療後は、左右どちらでも安定して噛めるようになり、食事の際の不安が大きく軽減されました。
今回のケースは、悩みながらも入れ歯相談を受けていただけたことが、良い結果につながったかと思います。
入れ歯に対して不安や抵抗感をお持ちの方も多いですが、しっかりと設計された義歯を選ぶことで、「噛める」「見た目が自然」「歯を守れる」治療が可能になります。入れ歯相談を受けられた方の満足度は非常に高く、今後も継続して力を入れていきたいと考えています。
治療の概要
| 治療費用 | ミラクルデンチャー(右上46/左上45・46・47) 770,000円(税込) |
|---|---|
| 治療期間 | 上顎義歯 約2ヵ月(全5回) |
| 想定されるリスク | ・装着初期の違和感 ・使用方法によっては外れる可能性があります |










